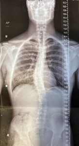
In simple terms, scoliosis is an abnormal curvature of the spine.Scoliosis is often thought of as a childhood condition, but in reality, it affects people of all ages and can look very different depending on when and why it develops.In simple terms, scoliosis is an abnormal curvature of the spine. “While the spine naturally has gentle front-to-back curves, scoliosis involves a side-to-side curve measuring more than 10 degrees. Below that threshold, it’s considered a normal variation rather than scoliosis,” explained Brigadier General John F. Hall, M.D., a board-certified, fellowship-trained orthopedic spine surgeon and owner of Arizona Precision Spine in Flagstaff. He emphasizes that not all scoliosis is the same and that understanding the type is key to understanding treatment.Congenital scoliosis, while extremely rare, is present at birth and results from vertebrae that didn’t form normally in the womb. “The building blocks of the spine are usually rectangular,” Dr. Hall said. “In congenital scoliosis, some vertebrae may be fused together or shaped more like triangles.” Juvenile idiopathic scoliosis, which occurs between ages 4 and 10, is also uncommon and is often associated with underlying medical conditions or syndromes. Because of various complexities, both congenital and juvenile scoliosis are typically treated at specialized children’s hospitals.The most familiar form is adolescent idiopathic scoliosis (AIS), which develops between ages 10 and 18. “Idiopathic means we don’t know the exact cause,” Dr. Hall explained. “If a teenager with AIS has back pain, it’s usually unrelated to the scoliosis itself.”And while it’s not hereditary, it does have a genetic component. “It is a multifactorial, familial condition, where genetic previous disposition combined with other factors increases the risk of AIS.” He says roughly 30% of cases have a family history.AIS is often detected during routine checkups. Pediatricians frequently screen for it by observing the patient’s posture or using the forward-bend test, in which children are asked to bend over and reach for their toes. Otherwise, AIS can be easy to miss.“Because it’s not painful, kids usually don’t notice it and parents may not see obvious signs until the curve has progressed.”If diagnosed with AIS, depending on the degree of the curve, wearing a specially fitted brace can help prevent curves from worsening. But, Dr. Hall notes, once someone is skeletally mature, bracing no longer works.“There’s no scientific evidence that supplements, physical therapy or alternative treatments change the curve magnitude,” Dr. Hall said. “The only things that do are bracing during growth and surgery, with surgery being the very last option.”What most people might not understand is that there is still a risk of developing scoliosis later in life, even if you don’t have AIS. The most common form of scoliosis overall is adult degenerative scoliosis, which typically develops after age 50 and is associated with disc degeneration and arthritis in the spine. Unlike scoliosis in younger years, this type is known to be painful and is usually signaled by axial back pain, or pain along the midline of the spine. Some people may also experience nerve pain that radiates down the leg, known as sciatica. There is a possibility of degenerative scoliosis getting worse with age.“The nature of degenerative conditions is that they continue to degenerate,” Dr. Hall said. “However, that’s not the same thing as saying someone will feel worse over time. There is not a one-to-one correlation between spine conditions and pain.”He explained physical therapy is the cornerstone of non-operative treatment for axial back pain. Pain-management options such as medial branch blocks, radiofrequency ablation and in some cases, spinal cord stimulation may also help. For patients with sciatica, oral anti-inflammatory medications and epidural injections are often first-line treatments.Curves that progress beyond 45 to 60 degrees, whether in adolescents or adults, are likely to continue worsening because of biomechanics alone. In those cases, surgical intervention may be necessary even if symptoms are mild. If surgery is necessary, Dr. Hall said technology has greatly transformed outcomes.“People don’t have to live the way they used to. Modern spine surgery increasingly relies on computer navigation, which allows surgeons to place screws and rods with exceptional precision using real-time 3D imaging. This technology has shown dramatic improvements in safety and effectiveness for complex scoliosis cases.”Dr. Hall emphasized that from kids to older adults, scoliosis care is never one-size-fits-all. The key is understanding the type, the risks and the right treatment at the right time. FBNBy Mary Marini Parra, FBNShare this… Facebook Pinterest Twitter Linkedin Whatsapp Post navigationWesterly sets up a business registry | Daily-news-alerts Trump Accounts: List of Companies and Individuals Providing Contributions for Children